Health Connect Clinic

Real Patient Transformations

Browse our latest success stories from Health Connect Clinic

Non-Prep Veneers Feldspathic Ultra-Thin

Non-Prep Veneers (Feldspathic Ultra-Thin)

EMAX Veneers Minimal Prep

EMAX Veneers (Minimal Prep)

What Can Veneers Correct?

Severe Staining before and after veneers

Severe Staining

Veneers offer a permanent whitening solution for teeth that do not respond to conventional bleaching treatments.

Book Free Consultation
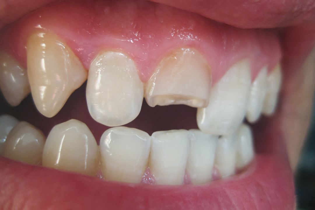
Chipped or Broken Teeth before and after veneers

Chipped or Broken Teeth

Restore the full structure and symmetry of damaged teeth with stunning, natural-looking veneers.

Book Free Consultation
Gaps & Spaces before and after veneers

Gaps & Spaces (Diastema)

Close small to moderate gaps without braces, achieving an evenly aligned smile instantly.

Book Free Consultation
Misshapen or Small Teeth before and after veneers

Misshapen or Small Teeth

Improve size, shape, and proportions for complete harmony and balance across your smile.

Book Free Consultation
Minor Misalignment before and after veneers

Minor Misalignment

Achieve the look of straight teeth instantly—no orthodontics required.

Book Free Consultation

The Health Connect Veneers Process

1

Smile Design & Consultation

We begin with a detailed discussion of your goals and use digital smile design technology to preview your new smile.

2

Preparation & Impressions

Minimal enamel preparation, followed by precise impressions and temporary veneers for your comfort.

3

Custom Lab Fabrication

Your veneers are crafted using high-quality porcelain tailored to your approved design for perfect results.

4

Trial & Permanent Bonding

Preview your veneers before permanent bonding. Once approved, they're securely placed with precision.

5

Follow-Up Care

Simple aftercare ensures your veneers stay bright, strong, and beautiful for years to come.

Request A Call Back

The Health Connect Difference

Experienced Cosmetic Dentists

Our specialists have advanced training and a proven track record in high-end smile makeovers.

Premium Porcelain Materials

We use only the finest porcelain for lifelike translucency, durability, and stain resistance.

Digital Smile Technology

Preview your new smile before treatment begins—no guesswork, just precise, predictable results.

Comfort-Focused Environment

We ensure a soothing, professional, and supportive experience from start to finish.

Ready for Your Transformation?

A dazzling Hollywood Smile is closer than you think. Contact us today to schedule your Veneers Consultation!

Book Appointment